它能染出好看的紫色,也曾引发上百年的斗争

提起采木,大家可能会感觉很陌生,它的另一个名字墨水树也不能算是为人所熟知的名字。只有提到苏木精,熟悉医学或者生物学的朋友们才会会心一笑:这可是著名的生物组织染色剂——而这种染色剂,就来源于我们的采木。
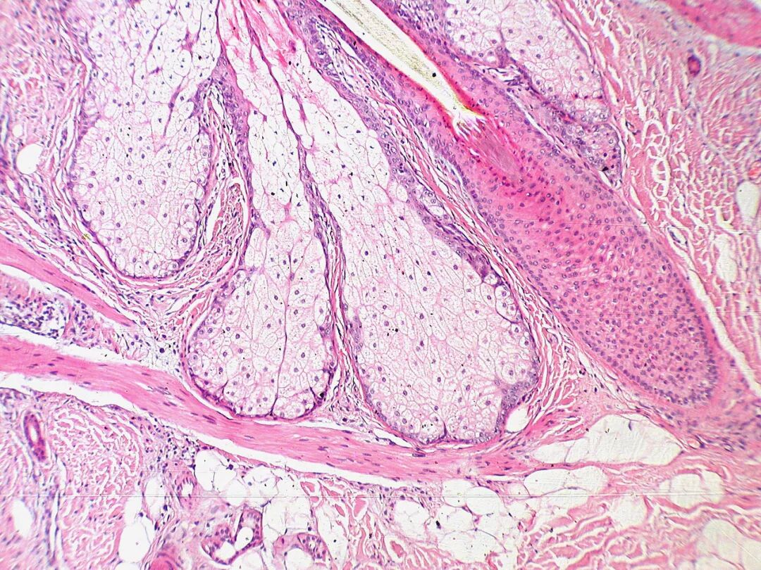
还是没印象?看看这张苏木精-伊红染色的切片,不知道会不会稍微唤起一点你的回忆。图片:Kilbad / wiki commons
熟悉的陌生树
采木(Haematoxylum campechianum)又称洋苏木、墨水树,是豆科采木属的植物。大家都知道,豆科是一个庞大的大家族,拥有751个属和19000余种已知物种,在有胚植物中是第三大科,仅次于菊科和兰科。
和豌豆蚕豆它们不同,采木是一种落叶小乔木,通常能长到5到10米高,据说最高的可以长到15米。它们的树干主干较短,从主干上会延伸出多根树枝,树枝伸长下坠,组成宽阔的圆形树冠,因此有时候也会长成灌木的样子。

伯利兹,一株生长在湿地中的采木。图片:Cephas / wiki commons
采木有浅灰色的树皮,树干带有一些凹陷的槽状纹路。随着树龄增长,树皮会开裂剥落,从而变得更为粗糙。

和大多数豆科植物相似,采木的叶子呈羽状复叶结构,复叶长5~10厘米,小叶2~4对。每片小叶呈倒心型或者卵型。作为一种原产热带的落叶植物,采木的落叶习惯和温带的多数植物有所不同:它们的叶子是在旱季而非冬季脱落,目的自然是为了节约水分;而在雨季到来之际,新的叶子才会重新长出来。

采木的叶。图片:Pancrat / wiki commons
采木淡黄色的花很小,聚在一起成总状花序。和我们熟悉的豆科植物们长出的明显两侧对称的蝶形花不同,采木的五片花瓣虽然并不相等,但是看上去却依然非常像是辐射对称的结构。

采木的花序。图片:Fpalli / wiki commons
不过也不用惊慌,其实豆科下的整个云实亚科的花都长这个样子——要知道豆科含羞草亚科的花们,还都是真的辐射对称的呢!
一样有意思的还有采木的荚果,通常来说,豆科植物的荚果会沿背缝线和腹缝线裂开,像豌豆那样,但采木的荚果却是从荚壁中间纵向裂开露出种子的。

采木裂开的荚果。图片:Jim Conrad / backyardnature.net
虽然听上去越来越不熟悉,但是由于枝叶纤细花朵芬芳,它也经常被当作园林植物种植(快去找找!)。另外,采木的花蜜呈现浅琥珀色甚至几乎透明,在原产地,它是重要的蜜源植物。
木材才是重点
比起并不那么重要的园林和蜜源用途,采木的精华都在它的木材里。
采木木质坚硬,并且天然耐腐,是很好的木材原料,但是碍于树的直径尺寸,通常不能用于制造较为大型的器具,只能拿来制作地板、弓身、棺材或是梳子一类小东西。新鲜砍下的采木木材密度大约在0.96到1.04吨每立方米之间,很容易沉入水中,拿在手里也是沉甸甸的,很有分量。

看看这树干,就知道要长粗,很难。图片:iplantz.com
采木木料最特殊的部分还是它紫红色的心材——属名Haematoxylum正是源起于此。Haematoxylum由两个希腊语词根组成,haima是血的意思,而xylon是木头的意思,综合起来就是血木。

一棵巨大的采木的截面:深色部分是心材,周围一圈薄薄的浅色部分是边材。图片:tramil.net
将采木剥去边材,将心材切成小块碎片,用沸水浇注没过并浸泡至少12小时,这样可以让碎木发酵并充分萃取。接着再加入水,煮沸20分钟后,就会得到一种鲜艳的紫红色染料。在工业生产中,还会将染液进行真空脱水以制成染料晶体来销售。

从墨水树中溶出的染料。图片:W. P. Amstrong / palomar.edu
这种染料可以将织物染成紫色。同时根据水的酸碱度不同,颜色在灰紫色到紫色之间。而如果加入酸性物质后,染料则会变成黄色——换言之,采木提取物也是一种酸碱指示剂。除此之外,加入不同的媒染剂也可以得到不同的颜色:加入铝是紫色,但是需要额外加入铜或铁让它在光照下不容易褪色。加入铜会让颜色变得偏蓝,而额外加入铁就会产生一种典雅而迷人的黑色。在18世纪的欧洲,大多数高档的黑色衣服都是用它染的。除了用来染衣服,它还可以用来把头发染成或染回黑色。

用采木提取物染成的各色纱线。图片:Charlotte Powell
在染料缺乏的年代,天然染料无疑是重要的资源。和其他南美原产的经济作物一样,采木的经济学价值让它在大航海时代的历史上占据了一席之地。尤其是其他昂贵的天然红紫色染料对比,采木作为染料相当有性价比。在1581~1662年之间,由于大量染料商抗议,英国议会甚至禁止使用采木来进行染色,不过,即使这样也挡不住大家换个名字继续用它。
采木引发的战争
16世纪,西班牙人在墨西哥东南部的坎佩切州州(采木的种加词campechianum就是从这里来的)附近发现了采木的染色作用之后,就将它作为自己的摇钱树,禁止其他人采伐。当然,有钱和法律的地方,就有不法者。

恶名昭彰的加勒比海盗“黑胡子”爱德华·蒂奇也没有少做采木的买卖。图片:Jean Leon Gerome Ferris (1920)
尽管盗伐采木的规模远比不上烟草等合法贸易,但它也引发过战争。
中美洲的小国伯利兹(原英属洪都拉斯)就是由采木起家的西班牙殖民地。它本属于玛雅人,16世纪初,西班牙人找到了这片土地并宣称它成为了西班牙殖民地。但由于环境恶劣,部落敌对,西班牙人并未在此定居。
17~18世纪,英国海盗在此发现了大量的采木。为了利益,他们忍受蚊虫肆虐,在沼泽地建立了伐木营地和港口。这群在当地落脚的盗伐者被称为“baymen”,通过压榨从非洲和西印度群岛贩卖来的奴隶,他们每年的采木产量甚至高达13000吨,而当时采木心材的价格在英国能卖到每吨100英镑。

玛雅古城遗址阿尔顿哈就位于伯利兹境内。图片:Denis Barthel / wiki commons
西班牙人自然不会坐视不管,他们曾经多次用军队和外交手段驱逐英国盗伐者建立的营地。而为了这巨大的利益,英国也在不断反击西班牙,两个国家在这片土地上争夺不休,直到1796年英国人完全把西班牙人赶走——不过到那时,由于其他染料开始进入市场,采木市场逐渐饱和,价格也大幅下跌,大叶桃花心木已经取代了采木,成为该地主要的输出品了。
这片地方从西班牙殖民地到后来的英属洪都拉斯,现在又成为了一个独立的国家伯利兹,几经变革,而不变的是,它的国旗上依旧画着一黑一白两位伐木人,记录着当年的故事。

伯利兹国旗。图片:Caleb Moore / wiki commons
采木的新生
时间来到了现代,作为一种衣物染料,采木早已被合成染料所取代,易脱色是它的致命伤。如今只有在复古的草木染作坊里才能偶然看见它们的身影。但是采木,依然有它不可替代的用途。
从采木中可以提取出一种叫苏木精(Haematoxylin)的物质,它本身不是染料,但在科研领域被大量用来进行细胞染色。

苏木精的分子结构。图片:wiki commons
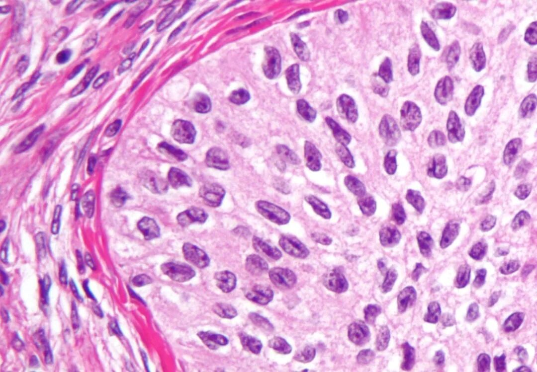
为了观察细胞内部的结构,需要用一些东西选择性地染细胞中一部分物质的颜色。苏木精氧化后可以形成苏木因(Haematein),后者可以与某些特定金属离子(主要是三价的铁离子与铝离子)结合形成有色复合物,铝-苏木因复合物呈碱性,可以将核酸染成紫蓝色;而另外一种色素——伊红呈酸性,可以将细胞浆染成粉红色。二者配合使用,便是传说中的苏木精-伊红染色(常缩写为H&E染色),可以清楚地把细胞内的各个组分区分开来,为生物学与医学的发展贡献良多。

经H&E染色的布伦内罗氏瘤切片。图片:Nephron / wiki commons
采木在历史上也曾用来入药,但并没有科学依据证明其有效,相反,苏木精是有毒的。由于颜色相似,有不法商家将其抽出物宣传成紫杉醇销售,或是宣传喝完可以解酒。在动物实验中,苏木精可导致体温升高、呕吐、无尿、昏迷和死亡,也有一定的致癌性,所以可千万搞清楚来源,不要随便乱吃哦。(PS:吃紫杉醇也没有任何预防癌症的效果啦!)

本文来自果壳,欢迎转发
如需转载请联系GuokrPac@guokr.com
