《科学腿脚放松指南》
天气越来越热,是时候收起靴子,拿出轻薄的鞋了。夏季,鞋的选择更多,出门前总要站在几双鞋前纠结一下。
有些鞋穿上走几个小时,就从脚底到腰背都不舒服,但因为太好看或很方便,让人忍痛也想穿。如果无法舍弃它们,可以用几个简单动作放松腿脚,减少鞋对身体的伤害。

图丨pxhere
最常穿的鞋,可能正在伤害身体
有的伤害直接可见,比如脚痛、起水泡,或者摔倒骨折[1, 2]。还有一些损伤会默默积累,即使换了鞋,身体也不能立刻复原。想预防这些危害,少穿伤身体的鞋最有效。
脚不能放松,凉拖会掉
凉拖方便又百搭,简直是夏日必备。但没有带子固定脚跟,凉拖多数都不跟脚。这强迫脚趾用力抓住鞋、勾起脚尖和弯曲膝,走久了腿脚很累。如果鞋底又薄又硬,无法吸收地面冲击力,对腿脚的损伤更大[3-6]。
如果一定要穿这类鞋,尽量选择带子靠近脚踝位置、鞋底较软且有一定厚度的[6, 7]。

走路时,鞋会离开脚底,让人不自觉用力抓紧丨作者供图
高跟鞋,踮脚改变全身
垫起脚跟破坏了前后方向的平衡,人必须从脚到头改变姿势才能站稳,鞋跟越高危害越大。
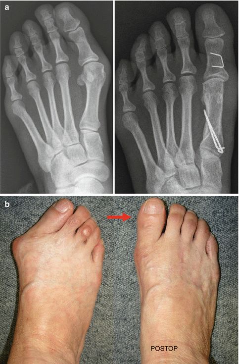
对于脚本身,踮脚姿势增加前脚掌压力(特别是拇趾周围),加上很多尖鞋头挤住脚趾,会改变足弓高度,使拇外翻风险升高1~2倍,还可能导致足底筋膜炎及骨骼变形[1, 8, 9]。

左侧为拇外翻X线片及足部照片,右侧为术后丨参考文献[10]
脚长期踮着,小腿后侧的肌肉和跟腱会缩短、变粗和僵硬。难看不说,穿回平底鞋时,缩短的肌腱会拉得小腿难受,人向后倒[9, 11]。运动时,僵硬的跟腱可能受到损伤,甚至断裂。为了保持平衡,走路时小腿其他部位的肌肉也更用力,容易疲劳酸痛[12]。

长期穿高跟鞋,小腿后侧肌肉横截面积增大8.4%,长度变短13%,跟腱横截面积变大7%[13]丨作者供图
这些变化让小腿使不上劲,走路时大腿更用力,再加上姿势的改变,膝关节压力明显升高,可能造成膝痛并损伤关节。腿脚的影响向上蔓延,可能导致骨盆前倾、腰椎曲度改变、头前伸及身体左右不对称,造成腰背及头颈痛等[8, 9, 12, 14]。
如果必须穿高跟鞋,脚跟与前脚掌高度差在4~7厘米相对危害较小[2]。
最健康的鞋
对于多数人,这样的鞋最适合日常穿:跟高1~3厘米,底有缓震能力,鞋与脚接触面积大(但足趾前、侧、上方要留有空间),各种姿势都没有挤脚感觉。
运动鞋大都符合标准,只有特殊类型不适合日常穿,如举重鞋及舞蹈鞋(运动当中要穿相对应的鞋)。
脱下鞋,需要放松及加强
不想穿运动鞋的日子,回家脱下鞋后,可以用几个简单动作放松腿脚(有人按摩当然更好)。
脚底酸,踩球放松
把球踩在脚下,缓慢滚动,放松整个脚底,特别疼的位置多停留一会,每只脚踩30~60秒。
下面的练习仅针对健康人,患相关疾病者请遵从医生的建议。所有练习动作,在面对面专业指导下最安全有效,动作中出现异常疼痛、麻木、弹响请停止。

胶球可用网球或高尔夫球等替代,选择自己能接受的软硬程度丨作者供图
小腿痛,滚动按摩
泡沫轴放在一侧小腿下,手撑地前后缓慢移动(快速反而恶化),滚动30~90秒。

放松小腿后侧肌肉;感觉撑地费力,可以把小腿分成上下两段滚动;疼痛部位多停留一段时间丨作者供图
小腿前侧的酸痛,可以用擀面杖滚动缓解。

放松小腿前外侧肌肉;使用专用按摩工具效果更好丨作者供图
拉伸小腿后侧
放松后进行小腿后侧拉伸,每个动作维持30秒,重复2~4次[15, 16]。

手扶前侧,一脚向后迈,足尖指向正前方;向前移动重心,并用力伸直膝,不要抬起足跟丨作者供图

屈膝向前移动重心,不要抬起足跟丨作者供图
上面的动作可以暂时减轻腿脚酸痛,但想获得长期改善,还得让腿脚本身的功能更强大。
强化腿脚肌肉
足趾抓紧毛巾维持2秒再展开,重复10~15次,共2组,每周做3~5天。如果能加入小腿肌肉强化及核心训练,效果更好[15, 16]。

不仅要用力抓紧,展开时也要用力分开五趾;刚开始可能感觉脚趾不听话,多练就好丨作者供图
恢复功能
最后,还需要一个动作把之前的练习都整合起来,才能让生活更轻松。缓慢将一只脚尽量伸远,重复10~15次,共2组,每周练习3~5天[15, 17]。

单脚站立,另一只脚伸向前、外、后侧。保证身体正直、站立侧膝朝向足尖的前提下,尽量够向远处丨作者供图
参考文献
作者:代天医
编辑:odette


活儿姐
女明星里,杨紫琼好像就患上了拇指外翻。

本文来自果壳,未经授权不得转载
如有需要请联系ao.chai@guokr.com
(欢迎转发到朋友圈~)
